FOOMA JAPAN 2026 〜世界最大級の食品製造総合展〜 | 一般社団法人 日本食品機械工業会主催

アカデミックプラザ

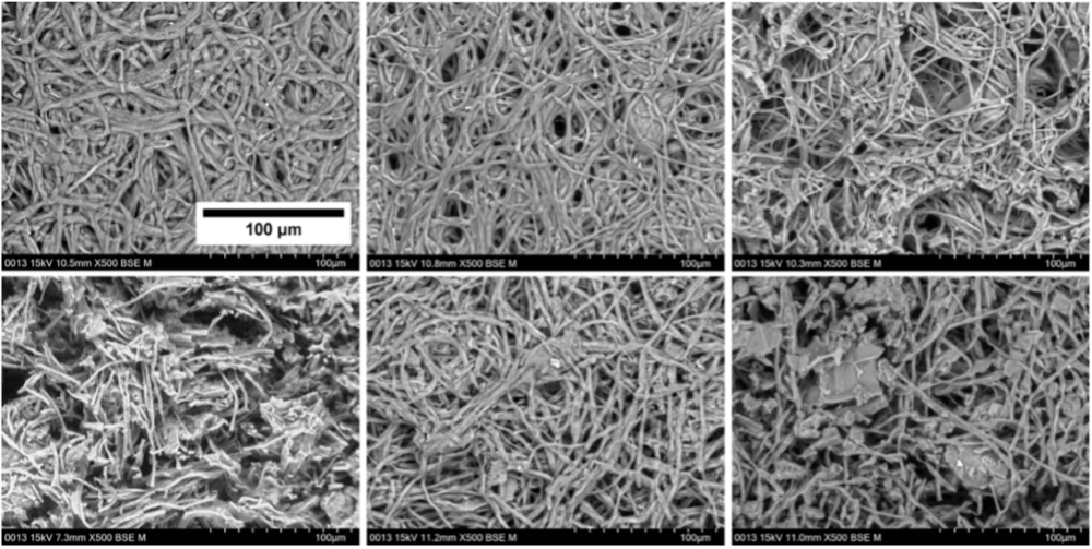
湿式粉砕・噴霧乾燥・微生物培養によるアップサイクル技術
口頭発表テーマ:湿式粉砕・噴霧乾燥・微生物培養によるアップサイクル技術

  • 口頭発表あり

2026年06月05日(金)14:15~14:25

テーマ

環境対策・リサイクル(廃棄物処理、カーボンニュートラル含む)

研究機関名

筑波大学 生命環境系 農産食品加工研究室

代表者名

北村 豊

発表概要文

本研究は、規格外農産物や食品加工副生物などの未利用資源を高付加価値化するアップサイクル技術の確立を目的として、湿式粉砕(MWM)と噴霧乾燥を組み合わせた新規粉末化プロセス「プレミルドライ」および微生物培養技術を体系的に検討したものである 。 プレミルドライは、水分を保持した柔軟な原料を微粉砕した後、懸濁液を微粒化して短時間で噴霧乾燥する点に特徴を有し、従来の乾燥後粉砕法と比較して熱履歴を低減できる。その結果、規格外マッシュルーム粉末では明度(L*値)が従来法の約55から60以上へと向上し、タンパク質含量も24.8~25.7 g/100 gと高く維持された。また、干しいも加工残渣においても、水分活性0.50以下の保存安定性と均一な粒度分布を示す高品質粉末の製造が可能であった。 さらに、未利用資源を培地成分として活用し、麹菌(Aspergillus oryzae)の菌体を原料とする代替肉の開発を行った。培地中の固形分添加により菌糸径が約3.5 μmから2.5 μmへと変化し、加工後のテクスチャー特性にも影響を及ぼすことを明らかにした。以上より、本研究は粉末化技術と微生物利用を統合することで、地域資源を次世代食品素材へと転換する実用的アップサイクルモデルを提示するものである。